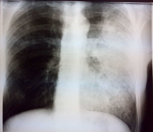
Barbat 45 de ani, fumator -20 / zi, tuşitor, sputa mucoasa, fara dispnee
SaO2 = 90%; TA = 120 / 80mmHg; puls = 101 / min; stetacustic nimic; VSH normal,; PCR = normal; fibrinogen = 360 mg%;
CT TORAX NATIV: focar de umplere alveolară cu bronșigramă aeriană care interesează aproape întreg lobul stâ